HOME | 歯周病治療

歯周病治療

出来る限り歯を抜かない
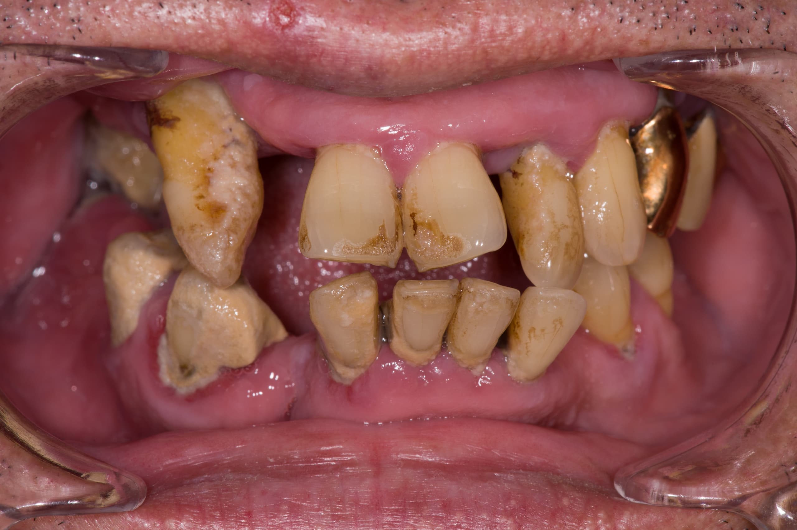
一般的な歯周病(慢性歯周炎)に関する治療法は、ほぼ確立されています。私達は、出来る限り歯を抜かずに歯周病治療する事で歯を温存できるよう日々努力しています。

正確な診断を行います

全ての治療は診断からスタートします

早期発見が重要です

小さな虫歯を放置してはいけません

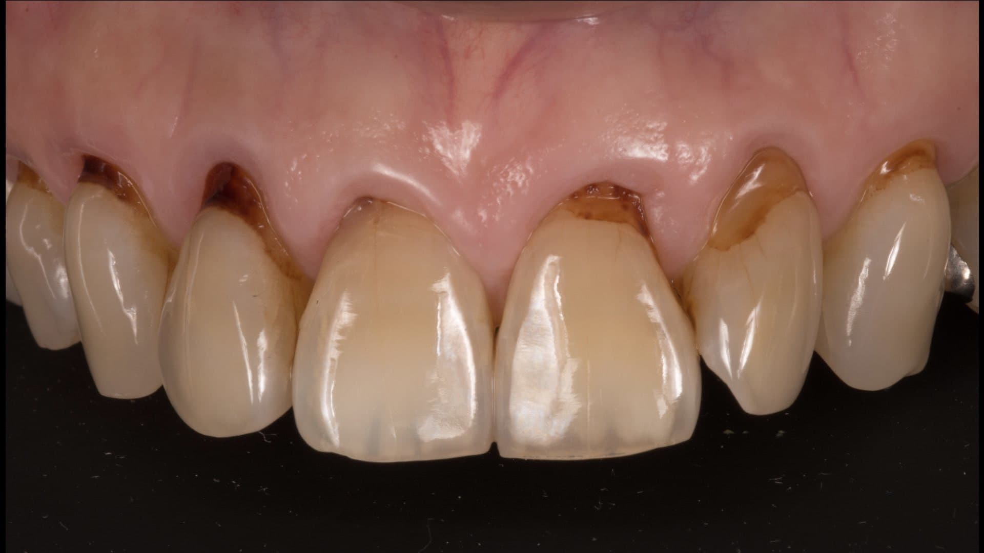
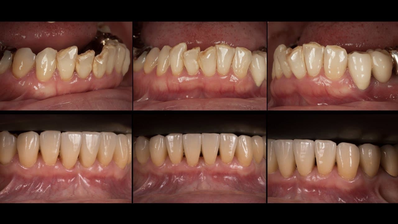
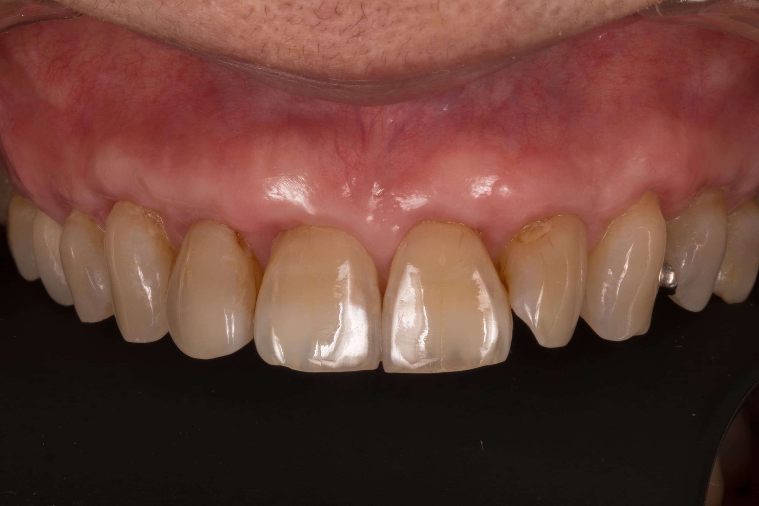
治療後のメンテナンス

健康を維持することを目標にしてください

dsc_9980.jpg dsc_6529.jpg img20200707123540434256.jpg img20200707122155186058.jpg dsc_0092.jpg fujiie_fumiko.001.jpg

あらゆる検査からの情報を分析します

基本的な検査だけでなく、CT検査、歯周病に特異的な細菌のPCR検査、噛み合わせの検査、生活習慣の見直しなどを行います

 


当院では「セカンドオピニオン」も積極的に行っておりますので、今の治療に不安がある方、一度ご相談ください。

他院では見逃してしまうケースもしっかり対応します

適切な治療を行えば、健康な口腔内を実現できます

 


噛み合わせ、生活習慣などあらゆる原因を調べます

専門医ではないと対応できない症例もあります

指導医として若い専門医への指導も行っています。最新の文献、情報には常に目を通しています

 


歯周組織再生を基礎研究から生涯のテーマとして取り組んできました